
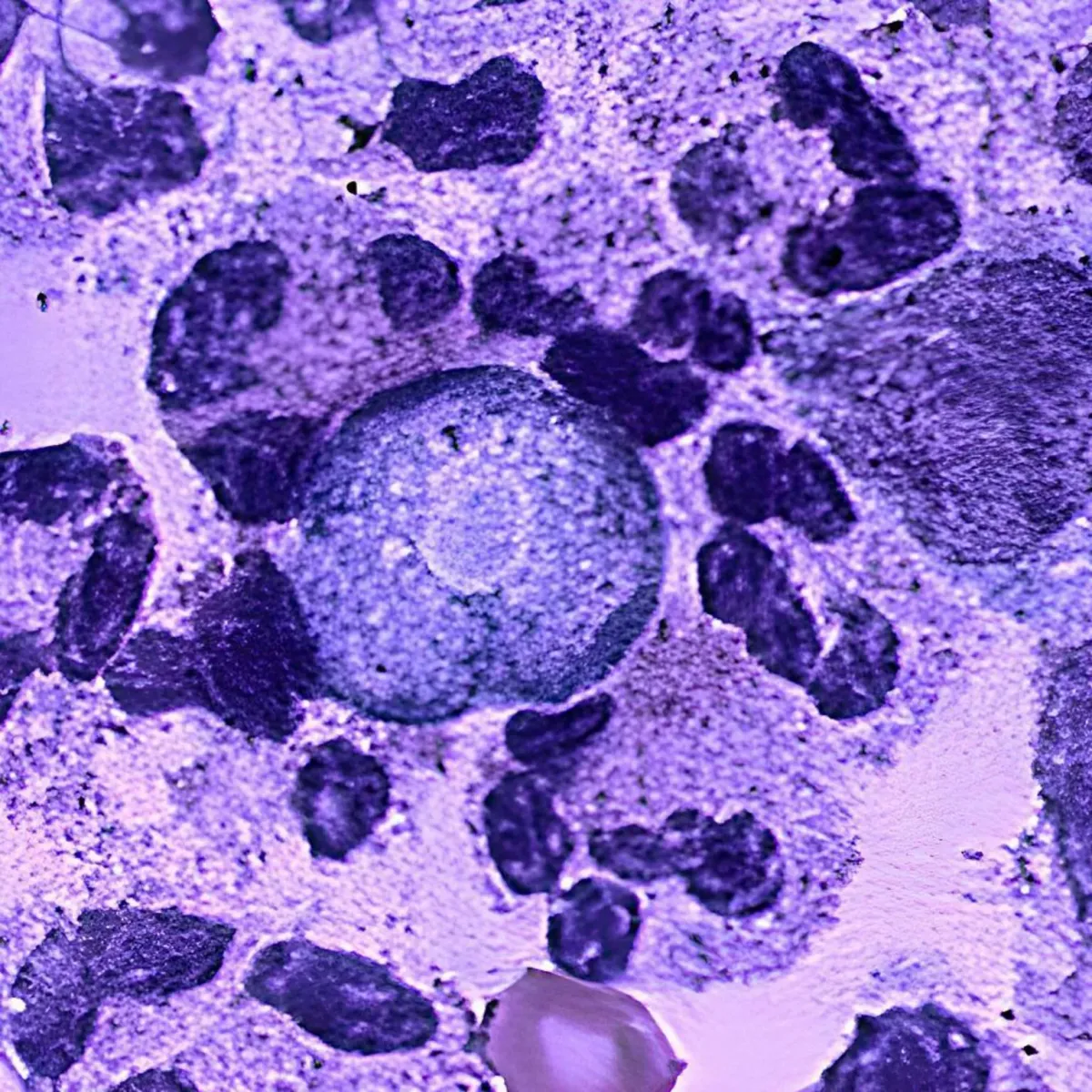
Энэтхэгийн өмнөд хэсгийн Керала мужид Naegleria fowleri хэмээх тархи иддэг амёб буюу нэг эст биетээр үүсгэгддэг халдварын тоо огцом өсөж байна. Одоогийн байдлаар тус мужид энэ халдвараар 70 гаруй хүн өвчилж, 19 хүн нас бараад байгаа юм.
Халдвар үүсгэгч нэг эст биет нь цэнгэг усанд амьдардаг бөгөөд хүний хамраар дамжин биед орж анхдагч амёбын менингоэнцефалит хэмээх, үхэлд хүргэх тархины хүнд халдвар үүсгэдэг аж. Тус мужид ийм халдвар авсан хүмүүсийн хамгийн бага нь гурван сартай нярай бөгөөд хамгийн ахмад нь 92 настай хүн байна.
Кералад 5.5 сая худаг, 55 мянга гаруй цөөрөм байдаг бөгөөд усны бохирдол нь халдварын эх үүсвэр болж байна гэж гэж мэргэжилтнүүд үздэг. Тиймээс ундны усыг ариутгах, нуур цөөрөмд усанд орохыг хориглох зэрэг арга хэмжээ авч байгаа бөгөөд нөгөө талаас халдварыг эрт илрүүлж, шаардлагатай эмчилгээг даруй хийж буй тул нас баралтын тоо өмнөх жилүүдээс харьцангуй буураад байгааг эмнэлгийн байгууллагууд онцлов.

Эх сурвалж: BBC

Энэтхэгийн өмнөд хэсгийн Керала мужид Naegleria fowleri хэмээх тархи иддэг амёб буюу нэг эст биетээр үүсгэгддэг халдварын тоо огцом өсөж байна. Одоогийн байдлаар тус мужид энэ халдвараар 70 гаруй хүн өвчилж, 19 хүн нас бараад байгаа юм.
Халдвар үүсгэгч нэг эст биет нь цэнгэг усанд амьдардаг бөгөөд хүний хамраар дамжин биед орж анхдагч амёбын менингоэнцефалит хэмээх, үхэлд хүргэх тархины хүнд халдвар үүсгэдэг аж. Тус мужид ийм халдвар авсан хүмүүсийн хамгийн бага нь гурван сартай нярай бөгөөд хамгийн ахмад нь 92 настай хүн байна.
Кералад 5.5 сая худаг, 55 мянга гаруй цөөрөм байдаг бөгөөд усны бохирдол нь халдварын эх үүсвэр болж байна гэж гэж мэргэжилтнүүд үздэг. Тиймээс ундны усыг ариутгах, нуур цөөрөмд усанд орохыг хориглох зэрэг арга хэмжээ авч байгаа бөгөөд нөгөө талаас халдварыг эрт илрүүлж, шаардлагатай эмчилгээг даруй хийж буй тул нас баралтын тоо өмнөх жилүүдээс харьцангуй буураад байгааг эмнэлгийн байгууллагууд онцлов.

Эх сурвалж: BBC
#Энэтхэг, #Тархи иддэг нэг эстийн халдвар,

Эрдэнэт-Овоо:
Улаанбаатар:
USD | 3567